Japanese Journal of
Gastroenterology Research


Clinical Image - Open Access, Volume 2

A rare case of aortoduodenal syndrome

Wei-Feng Huang1,2; Qi Zhang1,3; Wei Liu4,5*

1 Department of Gastroenterology, The First Affiliated Hospital of Xiamen University, School of Medicine, Xiamen University, Xiamen, China.

2Department of Gastroenterology, The Third Clinical Medical College, Fujian Medical University, Fuzhou, China.

3Department of Rheumatology and Immunology, The First Affiliated Hospital of Xiamen University, School of Medicine, Xiamen University, Xiamen, China.

4Institute of Digestive Disease, China Three Gorges University, Yichang, China.

5Department of Gastroenterology, Yichang Central People’s Hospital, Yichang, China.

*Corresponding Author : Wei Liu
Institute of Digestive Disease, China Three Gorges University, 8 Daxue Road, Yichang 443000, China.
Email: liuwei@ctgu.edu.cn

Received : Apr 10, 2022

Accepted : May 12, 2022

Published : May 19, 2022

Archived : www.jjgastro.com

Copyright : © Liu W (2022).

Keywords: Aortoduodenal syndrome; Abdominal aortic aneurysm; Obstruction.

Citation: Huang WF, Zhang Q, Liu W. A rare case of aortoduodenal syndrome. Japanese J Gastroenterol Res. 2022; 2(7): 1083.

Clinical image description

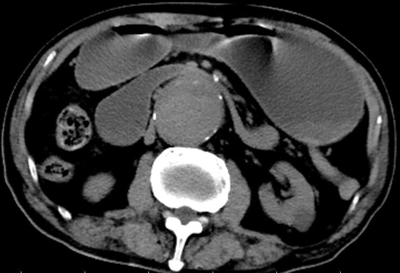
An 89-year-old man with a past medical history significant for hypertension, coronary heart disease, diabetes mellitus and renal dysfunction presented with a chief complaint of nausea, vomiting and abdominal discomfort for 3 weeks. Abdominal examination was unremarkable, apart from a pulsatile mass in the central abdomen. The laboratory findings included elevation of inflammatory parameters, increased creatinine and electrolyte disturbances. Abdominal computed tomography revealed a 5.7 cm abdominal aortic aneurysm with obstruction at the horizontal portion of the duodenum and upstream dilatation (Figure 1A). Meanwhile, computed tomography angiography led to a further exclusion of Wilkie syndrome, which has interesting correlations and differences as causes of extrinsic duodenal compression. He was subsequently diagnosed with aortoduodenal syndrome. Even if surgical management is the preferred treatment option, he was managed with medication and gastrointestinal decompression in overall consideration of his general conditions. After the symptoms improved, the patient was discharged and followed up as an outpatient. Aortoduodenal syndrome is an extremely rare entity, with only about 50 cases reported in the literature, since William Osler described the aortoduodenal syndrome in 1905 firstly [1]. Different from occuring in young women with a thin body habitus in Wilkie syndrome, aortoduodenal syndrome is ubiquitous in aging men. Moreover, we can find a decrease in mesenteric fat tissue and the aortomesenteric angle (to below 25°) is showed in the imaging of the Wilkie syndrome other than aortoduodenal syndrome. As for treatment, even if surgical resection is the treatment of ultimate choice for this disease, some argue that conservative therapy should still be the preferred course of action, as it may help to reduce adverse effects of the initial insult for whom suffered with the aneurysmal rupture [2].

Figure 1: Abdominal computed tomography revealed a 5.7 cm abdominal aortic aneurysm with obstruction at the horizontal portion of the duodenum and upstream dilatation.

Declarations

Funding statement: his work was supported by the Medical and Health Guiding Project of Xiamen (3502Z20214ZD1028).

Conflict of interest statement: The authors have no conflicts of interest to declare.

Ethical statement: The authors are accountable for all aspects of the work in ensuring that questions related to the accuracy or integrity of any part of the work are appropriately investigated and resolved. Written informed consent was obtained from the patient for publication of this “Image”.

Author’s contributions: Collection of data and writing: WeiFeng Huang and Qi Zhang.

References

  1. Osler W. Aneurysm of the abdominal aorta. Lancet. 1905; 166: 1089-1096.
  2. Rosa P, O’Donnell SD, Melendez-Davidson JW. Duodenal Obstruction after Endovascular Repair of a Ruptured Abdominal Aorta Aneurysm. Ann Vasc Surg. 2021; 74: 519. e1-519.e5.