Journal of Gastroenterology
Research and Practice


Case Series - Open Access, Volume 4

Secondary biliary cirrhosis caused by cyproterone acetate

Honoré Zougmore1; Thierry Thevenot2; Jacques Bernuau3; Dominique Cazals-Hatem4; Alain Cazier5; Jean-François Cadranel1*

1Hepato-Gastroenterology Department, GHPSO, Creil, France.

2Hepatology and Intensive Digestive Care Department, Jean Minjoz University Hospital, 25030 Besançon, GHPSO, France.

3Hepatology Department, Beaujon, GHPSO, Paris, France.

4Pathology Department, Beaujon, GHPSO, Paris, France.

5Pathology Department, GHPSO, Creil, France.

*Corresponding Author : Jean Francois Cadranel
Hepato-Gastroenterology Department, GHPSO, Creil, France.
Email: Jeanfrancois.cadranel@ghpso.fr

Received : Jan 12, 2024

Accepted : Feb 06, 2024

Published : Feb 13, 2024

Archived : www.jjgastro.com

Copyright : © Cadranel JF (2024).

Abstract

Cyproterone acetate (CPA) is an oral anti-androgen commonly used to treat advanced prostate cancer. A variety of hepatotoxic reactions has been reported with CPA. The aim of this report is to describe a well-documented case of pateints treated with CPA and developing jaundice with a persistant anicteric cholestasis.

Keywords: Cyproterone acetate; Hepatotoxicity; Secondary biliary cirrhosis.

Citation: Zougmore H, Thevenot T, Bernuau J, Hatem DC, Cadranel JF, et al. Secondary biliary cirrhosis caused by cyproterone acetate. J Gastroenterol Res Pract. 2024; 4(1): 1182.

Introduction

Two types of antiandrogen are available, steroidal such as cyproterone acetate (CPA) and non-steroidal such as flutamide. Cyproterone acetate (CPA) is a widely used drug developped in the mild-1960s, having both anti-androgenic and progesterone-like activity. It inhibits the peripheral actions of testosterone and suppresses gonadotrophin secretion by maintening the negative feedback on the pituitary. This drug is generally prescribed in adults for female hirsutism, acne vulgaris, uncontrolled sexual urges, breast and prostate cancer. After over 20 years of experience in the treatment of prostatic cancer, CPA is considered as well tolerated and severe hepatocellular toxicity is a rare event. Here, we describe the case of a patient treated with CPA and developing jaundice with a persistant anicteric cholestasis. The patient died 4 years later with a likely secondary biliary cirrhosis.

Case presentations

Case report 1

A 68-year-old man was admitted on August 14, 1998 with a 2-week history of progressive non-pruritic and non-feverish jaundice. He had no personal or family history of liver disease, alcohol abuse, drug addiction, blood transfusion, or exposure to viral hepatitis. Twenty years ago he had undergone partial colectomy for occlusion and he was in good health until February 1998 when he developped urinary retention. He underwent a radical prostatectomy and adenocarcinoma was found in the prostate tissue removed. Liver function tests were all within normal values at that time. Urologist decided to start CPA 300 mg daily, and leuprorelide (Enantone), an LHRH analogue, as 3.75 mg intramuscular injection monthly. After 6 months of this therapy he developped jaundice and weakness. Laboratory data at that time showed the following results (reference values in parentheses): serum alanine aminotransferase (ALT), 741 IU/L (6-40); serum aspartate aminotransferase (AST), 741 IU/L (6-45); serum total bilirubin 422 µmol/L (5-20); serum direct bilirubin 321 µmol/L (0-5); serum alkaline phosphatase 237 IU/L (30-100); serum gamma-glutamyltranspeptidase 600 IU/L (5-45); and prothrombine level 73%. Serological tests for hepatitis viruses A, B and C were all negative as well as for recent infections with cytomegalovirus and Epstein-Barr virus. Except for the anti-smooth muscle antibodies which fluctuated between 1/80 and 1/160, the following auto-antibodies were negative: anti-nuclear antibody, anti-mitochondrial antibody, anti-liver/ kidney microsomal type 1 antibody, and anti-neutrophil cytoplasm antibody. Abdominal computed tomography showed mild pleural effusion and hepatic dysmorphy, without evidence of liver metastasis, bile duct dilatation or gallstones. Biliary tracts, spleen and pancreas appeared normal. On September 1998, a liver biopsy showed a marked centrolobular cholestasis, ballooning of hepatocytes with inflammatory cells including neutrophils and eosinophils around hepatocytes and cholangiocytes. Because of the suspicion of drug-liver toxicity, CPA was discontinued, leuprorelide was kept as the same dosage and ursodeoxycholic acid was started on January 1999, at 1000 mg/ day, divided in three doses. Table 1 shows the time course of liver enzymes after CPA withdrawal and allows to notice that anicteric cholestasis was present at any time. In June 2001, he presented with oedema of lower limbs and echography showed hepatic atrophy, splenomegaly, peri-hepatic ascitis. Echocardiography exhibited only a basal hypokinesia. In June 2002, CT scan noted hepatic dysmorphy.

Case report 2

A 62-year-old man was admitted on December 7, 1999 with a 12-day history of rapidly progressing, non-pruritic, non-febrile jaundice. He had no personal or family history of liver disease, nor any history of drug abuse, blood transfusion or exposure to viral hepatitis. He reported alcohol consumption of 50 g/day. His usual weight was 69 kg and his height 1.69 M. In September 1999, after several weeks of abdominal pain and dysuria, an extracapsular adenocarcinoma of the prostate was diagnosed, with a PSA of 3886 ng/ml (N<4) and large retroperitoneal adenopathies. On September 30, aminotransferase and gammaglutamyl transpeptidase activities were within normal limits. From October 10 to 13, estrogen therapy (daily IV infusion of ST52) was performed. On October 11, 99m Tc scintigraphy was normal. On October 20, the patient began taking Solupred, 40 mg daily for one month, omeprazole, 20 mg daily, Nilutinamide, 150 mg daily, as well as “Topalgic”, 150 mg daily, (used as an analgesic until December 6). On October 26, he began taking Decapeptyl® (a gonado NRH agonist), 3.75 mg IM every four weeks. On November 16, he took Cefaleros® for 3 days. Between November 20 and 23, he ingested a total dose of 6 g of paracetamol. From November 19, his urine became darker. On November 26, he began to develop jaundice, without fever or colic; serum bilirubin was 129 µmol/L (123 conjugate), alkaline phosphatase 1444 IU/L (N<290), gamma-GT 1053 IU/L (N<45), aspartate aminotransferase 210 IU/L (N<40), alanine aminotransferase 342 IU/L (N<40), prothrombin ratio 100%, albumin 32 g/L, fibrinogen 6.1 g/L (N<4), PSA 157 ng/ml. On November 27, he stopped taking Nilutinamide. On December 3, serum bilirubin was 148 µmol/L (conjugated 107), alkaline phosphatase 2416 IU/L, gamma-GT 1295 IU/L, aspartate aminotransferase 823 IU/L, alanine aminotransferase 1847 IU/L, prothrombin ratio 87%.

On admission to Beaujon Hospital, profound jaundice was present, as well as edema of the legs, mainly on the left side. Body weight loss was 7 kg. Abdominal ultrasound showed a normal liver, with a normal biliary tree, and no ascites. On December 7, serum bilirubin was 608 µmol/L (conjugated 401), serum creatinine 127 µmol/L, alkaline phosphatase 1450 IU/L (N<130), gamma-GT 1070 IU/L (N<40), aspartate aminotransferase 1210 IU/L (N<40), alanine aminotransferase 3270 IU/L (N<40), prothrombin ratio 45%, factor V 176% of upper limit of normal value, hemoglobin 11.7 g/dL and platelets 331,000/ mm3 . Serum markers of acute infection with viruses A, B and C were absent, and no anti-organ antibodies were detected in the serum. On December 10, lipothymia appeared, followed by melena; hemoglobin was 6.7 g/dL. On December 11, upper GI endoscopy revealed a peptic ulcer with a hemorrhagic clot. Five units of packed red blood cells were transfused over three days. On December 21, a liver biopsy was performed. Two samples of liver tissue, 11 and 12 mm long, were analyzed histologically. he architecture of the liver was normal. No fibrosis. Major centro-lobular cholestasis, with very few necrotic hepatocytes and no cellular inflammation. In the portal tracts, where few eosinophils were present, there was a decrease in the number of interlobular bile ducts.

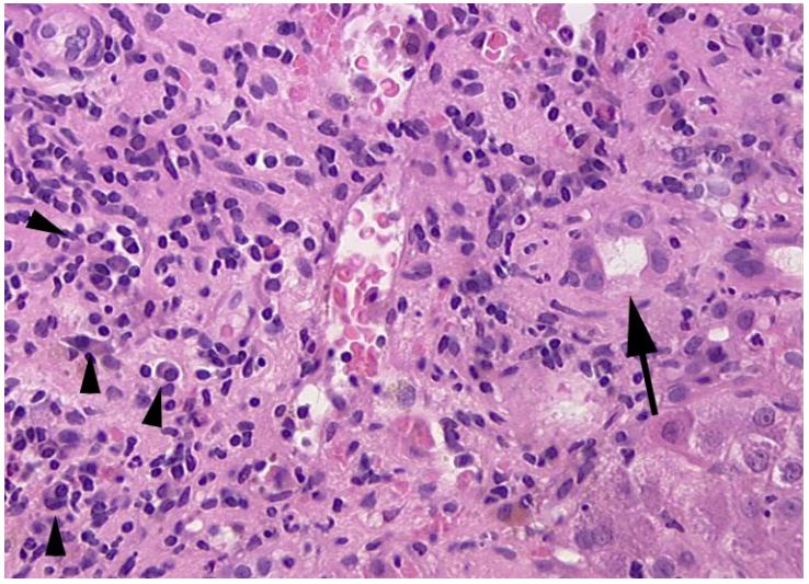
Figure 1: Patient n°1: enlarged portal tract infiltrates with numerous plasma cells (arrow head) and eosinophils, surrounding a damaged bile duct (arrow).

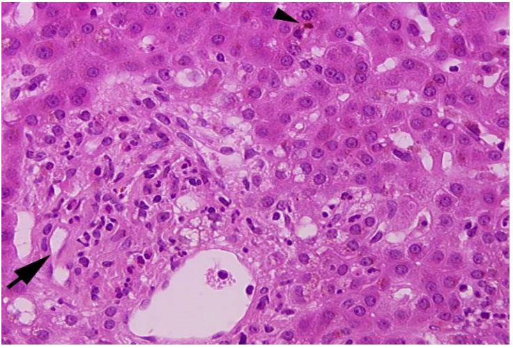
Figure 2: Moderate portal inflammation mainly constituted of eosinophils; bile duct (arrow) was destroyed by the infiltrate and canalicular cholestasis was marked (arrow head).

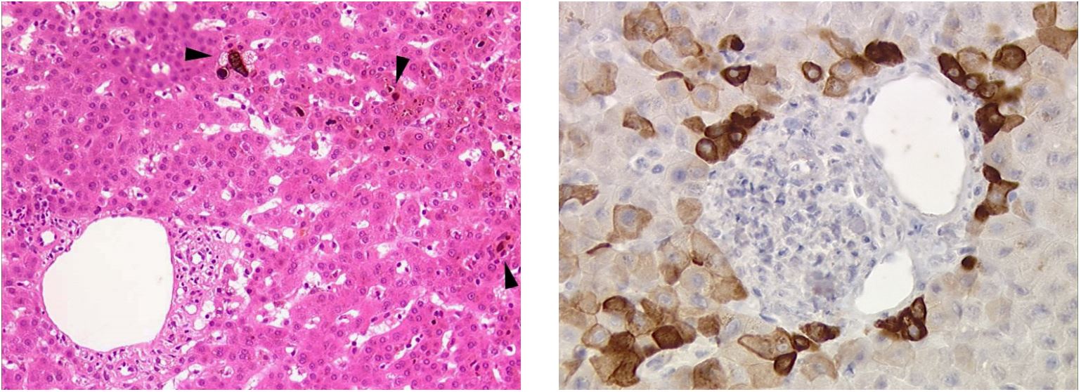
Figure 3 & 4: 4 months later, centrilobular cholestasis was major (arrow head) and the loss of bile duct was definite, confirmed by CK7- immunostaining which showed no duct inside the portal tract and a clear periportal biliary metaplasia (severe ductopenia).

Table 1: Time course of serum liver enzymes after CPA withdrawal.

Date 01/13/98 08/12/98 01/20/99 03/25/99 09/14/99 01/27/00 11/21/00 10/19/01 07/01/02
Bil T/C (μM) 18/3 422/321 ND 24/ND 27/ND 20/5 24/8 19/ND 24/8
AST (x ULN) 0.4 17.5 1.6 1.8 1.4 0.8 0.9 1.4 0.6
ALT (x ULN) 0.3 16.5 1.6 1.7 1.2 0.6 ND 0.9 0.7
GGT (x ULN) ND 13.3 ND 2.6 3.7 1.3 1.9 3.6 2.5
PAL (x ULN) 0.7 2.37 3 3 4.6 2.5 2.3 1.8 3.3
PT (%) 73 83 82 86 64
Platelets (/mm3) 155000 107000 105000 85000 88000 79000 87000 121000

Bil T/C: Serum total bilirubin / Serum conjugated bilirubin; AST: Serum aspartate aminotransferase; ALT: Serum alanine aminotransferase; GGT: Serum gamma-glutamyl transferase; PAL : Serum alkaline phosphatase; ULN: Upper limit of normal; PT: prothrombin time.


Table 2: Hepatitis induced by CPA with fatal outcome.

Auteurs Gender / Age Dose
mg/day
Therapeutic
indications
Other drugs Duration
of therapy
before SF
History
of liver
disease
Exclusion Symptoms Echo or
TDM
Total
bilirubin
(μM)
ALAT
(UI/L)
Days after
admission
and before
death
Levesque
1989
M/78 200 Prostate
cancer
Diosmine 5 months ND ND Mild ascites 178 1015 1
Antoni
1991
M/80 200 Prostate
cancer
No 6 No VHA, B, C, CMV,
herpès, ANA,
AMA, ML
Icterus, AEG Normal 473 20 x ULN 32
Parys
1991
M/65
(case 2)
200 Prostate
cancer
ND 12 ND VHA, B, herpes,
CMV, ANA, ML,
AMA
jaundice N 177 AST: 317
IU/L
11
M/85
(case 3)
200 Prostate
cancer
ND About 15
months
ND Idem Abdominal
pain, jaun-
dice AEG
Liver N
Gall stones
281 AST: 155
IU/L
6
Hirsch
1994
M/92 100 Prostate
cancer
No 4 No VHA, B, C, CMV,
ANA, ML, AMA
Icterus Slightly
enlarged
liver
20 mg/L 27 x ULN 24
Bressollette
1994
M/79 300 Prostate
cancer
Diltiazem
dipyridamole
9 No VHA, B, C
AMA, LKM
icterus Ascite 30 x ULN 9 x ULN 3
Pinganaud
1995
M/85 200 Prostate
cancer
Aspirine,
amiodarone
4 months ND VHA, B, C, her-
pes, CMV, EBV,
ANA, ML, AMA,
LKM1
fatigue normal 84 100 4 weeks
M/78 150 Prostate
cancer
Levodopa
selegiline
bromocrip-
tine
1 year ND Idem Fatigue, diar-
rhea, abdo
pain
normal N 86 3 weeks
Castellani
1996
M/78 260 Prostate
cancer
No 2.5 months No VHA, B, C, CMV,
herpes, ANA,
ML, LKM
Icterus
Ascitis
Ascite 429 15 x ULN 12
Lombardi
1998
M/84 150 Prostate
cancer
Leuprolide 1 year ND “serological
markers for
hepatitis were
negative
jaundice Gallstones
+ dilata-
tion of
principal
bile duct
505 19 x ULN 10
Garty
1999
M/10 100 Hypotha-
lamic syn-
drome + PP
+ obesity
ND 50 months
(CPA stop
at 10 y)
No VHA, B, C, EBV,
CMV, ANA, ML,
AMA, α1AT,
coerulopl
Ascites
HSMG
HSMG N N Death at
14 y : CIVD,
heart failure
septic shock
Friedman
1999
M/81 300 Prostate
cancer
No 7 months No VHA, VHB, ANA,
ML, AMA
icterus Ascite 513 395 20
M/66 300 Prostate
cancer
Metoprolol 5 No VHA, B, C, ANA,
AMA, Fe
Icterus, nau-
sée, AEG
Mild
splenom-
egaly
208 702 36

Table 3: Hepatitis induced by CPA without fatal outcome.

Auteurs Gender /
Age
Dosemg/day Therapeutic
indications
Other
drugs
Duration
of therapy
before SF
History of LD Exclusion Symptoms Echo or
TDM
Total bi-
lirubin
(μM)
ALAT Evolution af-
ter stopping
CPA
Roila
1993
M/74 200 Prostate cancer goserelin 11 months No “ viral hepa- titis ” Icterus ND 16 x ULN 26 x ULN Normaliza- tion of LT in 3 months
Meijers
1986
G : 5 F
Age :
73,85, ND
for 3 F
200-400 Breast cancer No 24 weeks (6-52) No “ viral hepa- titis ” ND No me-
tastasis
“ slight-
ly el-
evated
in 2 ”
3 x ULN
(n=3)
10 x ULN
(n=2)
Normalization
in 4 weeks to
3 months
Garty
1999
M/10 100 Hypothalamic
syndrome + PP
ND 50 months No VHA, B, C,
EBV, CMV,
ANA, ML,
AMA, α1AT,
coerulopl
Ascites
HSMG
HSMG N N Cirrhosis
+ ascites 3
years later
Blake
1990
M/71 300 Prostate cancer Pro-
pranolol
nifedipine
23 weeks No VHA, B, EBV,
herpes,
CMV,
Icterus
Cramps
Swollen legs
Encephalopathy
ascites 183 ND (AST : 17N) Normalization
of LT after 9
weeks
Manolakopoulos
2004
M/76 150 Prostate cancer Atenolol
Leuprolid
8 months
précédé de
6 mois de
flutamide
No VHA, B, C,
EBV, CMV,
herpes,
ANA, ML,
AMA, ANCA
Icterus HMG 116 4 x ULN UDA 1500
mg/j Normali-
zation LT in 6
months
Ruiz-
Rebollo
M/64 100 Prostate cancer No 6 months No VHA, B,
C, EBV,
CMV, ANA,
ML, AMA,
LKM, α1AT,
coerulopl
Icterus HMG 188 46 x ULN Bilir + ALT
almost N 1
month later
Parys
1991
M/72
(case 1)
200 Prostate cancer ND About 18
months
VHA, B,
CMV, her-
pes
ANA, ML,
AMA
Jaundice N 326 ND
(AST :5,
6N)
Normalization
of LT after 12
weeks and
adjunction
prednisolone
Drakos
1992
M/78 150 Prostate cancer triptorelin 3 months ND “hepatitis
virus, CMV
and herpes”
Icterus Minimal
ascites
491 468 U Normalization
of LT after 3
months
Giordano
2001
M/87 300 Prostate cancer No 7 months No VHA, B,
C,D,E CMV,
ANA, ML,
AMA
Jaundice Small
ascite,
HMG
41 12 x ULN Normalization
of LT after 2
weeks and
adjunction
corticoid
Murphy
1996
M/73 200 Prostate cancer ranitidine 3 months No AutoAb,
hepatitis B
and C
Fatigue, jaun-
dice
Ascites,
cirrhosis
193 AST: 18 x
ULN
Bilir 54 μM at
1 month
Dore
1990
M/79 245 Prostate cancer Hydroqui-
nine
11 weeks ND VHA, B Jaundice Normal 98 16 x ULN Normalization
of LT after 1
month
Hassler
1992
F/24 100 Hirsutisme oestrogel 3 months No VHA, B, C,
CMV, EBV,
herpes
ANA, ML,
AMA
N N N 6.6 x ULN À M3: ALAT
= 1.6 xULN.
Normaliza-
tion of LT in 6
months

HSMG: Hepatosplenomegaly. LD: Liver disease. PP: Precocious puberty


Discussion

Adverse effects of CPA have included impotence, headache, menstrual irregularities, gynecomastia and hepatotoxicity. The frequency of liver injury CPA reactions reported to Schering is 0.19 cases per 10000 and 0.07 per 10000 treatment years for non fatal and fatal hepatitis respectively. The incidence of flutamide and CPA-induced hepatotoxicity was observed as 9.9% and 5.3% respectively, in the European organization for research and treatment of cancer (EORTC) study [1] and CPAinduced hepatotoxicity was also significantly lower than flutamide in Lin’ retrospective review (9.5% vs 15.3%, p=0.034) [2].

In most cases, the pathogenetic mechanism of CPA-induced liver disease remains unknown. However, direct hepatotoxicity, mediated by an idiosyncratic mechanism, was hypothesized by some authors [3,4].

Some clinical findings, in particular the intensity of jaundice, pruritus and the long term elevation of FA, were suggestive of associated cholestasis in a mixed form [5].

In a recent review analyzing the type and characteristics of liver injury induced by all the antiandrogens, 79 cases of hepatotoxicity were suspected, including 72 hepatitis (21 due to CPA), 6 hepatocellular carcinoma and only 1 cirrhosis [6]. Hepatic tumors have developed in laboratory animals given CPA [7]. CPA induces DNA adduct formation and triggers strong DNA repair activities in rat liver cells, two situations believed to increase the risk of cancer development [8], even if it is not clarified whether DNA adduct formation and increased repairs synthesis can evolve towards hepatocarcinoma.

The only one histologically confirmed CPA-induced cirrhosis reported to date was a 14-year-old boy affected with hypothalamic syndrome and precocious puberty [9]. In this case, the authors ruled out the usual causes of cirrhosis in children, such as biliary malformations, viral infections and metabolic disorders. As in our case, this patient died 4 years after CPA withdrawal. However, Meijers et al. [10], the first author describing 5 CPA hepatotoxicity in a phase II study concerning 20 postmenauposal women with advanced breast cancer, already showed that confluent and bridging necrosis with scarring and regeneration of liver tissue were the hallmark of two liver biopsies performed. In our case, liver biopsy was marked by a large fibrosis infiltrated with inflammatory cells and associated with collapsus of hepatocytes. We can’t confirm cirrhosis in this specimen but the clinical evolution, marked by apparition of portal hypertension, was in favour of cirrhosis. The death was not directly related to cirrhosis but we are convinced that CPA-induced cirrhosis contributed to the fatal course of our patient. We have excluded all potential causes of cirrhosis, principally viral hepatitis, and LHRH analogues, maintained during 2 years after CPA withdrawal, don’t seem to cause hepatotoxicity [11,12]. Even if the death was delayed for 4 years, it should be partially attributed to CPA-induced cirrhosis, in part because no cofactors of cirrhosis were found. However, cases reports of fatal hepatic failure due to CPA involved elderly patients receiving high-dose CPA and often other drugs that could interact with CPA-hepatotoxicities. The mechanism of toxicity remains largely unknown. There is no clinical or laboratory manifestation to support hypersensitivity reaction (fever, skin reaction, arthralgia, and hypereosinophilia) and an idiosyncrasic reaction to CPA or one of its metabolites is largely admitted.

Up to now, 13 cases of fatal CPA hepatotoxicity (Table 2) have been described [3, 9,13-20]. The prognosis of hepatitis reported seems better with flutamide since near half of the CPA-hepatotoxicities did not evolve to recovery. However, early diagnosis of CPA hepatotoxicity leading to early interruption of the drug may allow resolution of hepatitis, thus avoiding a fatal outcome in near half of the case. The severity of hepatotoxicities is greatly increased if the drug in continued during the prodrome with a high increase in mortality. However, the data shown by Lin et al. [6] suggest that tapering the dose of flutamide and CPA could resolve the hepatotoxicity. According to the Lin’s study, the side effect of antiandrogen can be solved by switching flutamide to CPA or vice versa, especially when the initial pattern of liver injury was mild-to-moderate (liver enzymes elevation 2-6 folds of upper normal limit). However, a recent case report provides arguments against the possibility of turning to a drug of a different category, namely flutamide in this report [21]. So, although hepatic disorder during CPA was rare, a close monitorage of liver enzymes should be performed during therapy with this drug. It’s also recommended to have normal liver function before starting CPA and it seems advisable to follow liver tests after discontinuation CPA, because these tests do not return always to the normal range and could be the witness of an evolutionary process leading to cirrhosis.

Anyway, we can’t forget the positive imbalance in favour of CPA considering the low incidence of side effects and the potential benefit of this drug to slow down the evolution of prostatic cancer.

References

  1. Schroder FH, Whelan P, de Reijke TM, Kurth KH, Pavone-Macaluso M, Mattelaer J, van Velthoven RF, Debois M, Collette L; Members of the EORTC Genito-Urinary Group. Metastatic prostate cancer treated by flutamide versus cyproterone acetate. Final analysis of the “European Organization for Research and Treatment of Cancer” (EORTC) Protocol 30892. Eur Urol 2004; 45: 457-64.
  2. Lin AD, Chen KK, Lin AT, Chang YH, Wu HH, Kuo JY, Huang WJ, Hsu YS, Chung HJ, Chang LS. Antiandrogen-associated hepatotoxicity in the management of advanced prostate cancer. J Chin Med Assoc 2003; 66: 735-40.
  3. Friedman G, Lamoureux E, Sherker AH. Fatal fulminant hepatic failure due to cyproterone acetate. Dig Dis Sci 1999; 44: 1362-3.
  4. Manso G., Thole Z., Salgueiro E., Revuelta P., Hidalgo A. Spontaneous reporting of hepatotoxicity associated with antiandrogens: data from the Spanish pharmacovigilance system Pharmacoepidemiol Drug Saf, 15 (2006), pp. 253-259
  5. Miquel M., Soler A., Vaqué A., Ojanguren I., Costa J., Planas R. Suspected cross-hepatotoxicity of flutamide and cyproterone acetate Liver Int, 27 (2007), pp. 1144-1147.
  6. Thole Z, Manso G, Salgueiro E, Revuelta P, Hidalgo A. Hepatotoxicity induced by antiandrogens: a review of the literature. Urol Int 2004; 73: 289-95.
  7. Neumann F. Pharmacology and potential use of cyproterone acetate. Horm Metab Res 1977; 9: 1-13.
  8. Neumann I, Thierau D, Andrae U, Greim H, Schwarz LR. Cyproterone acetate induces DNA damage in cultured rat hepatocytes and preferentially stimulates DNA synthesis in gamma-glutamyltranspeptidase-positive cells. Carcinogenesis 1992; 13: 373-8.
  9. Garty BZ, Dinari G, Gellvan A, Kauli R. Cirrhosis in a child with hypothalamic syndrome and central precocious puberty treated with cyproterone acetate. Eur J Pediatr 1999; 158: 367-70.
  10. Meijers WH, Willemse PH, Sleijfer DT, Mulder NH, Grond J. Hepatocellular damage by cyproterone acetate. Eur J Cancer Clin Oncol 1986; 22: 1121-2.
  11. Crawford ED, Eisenberger MA, McLeod DG, Spaulding JT, Benson R, Dorr FA, Blumenstein BA, Davis MA, Goodman PJ. A controlled trial of leuprolide with and without flutamide in prostatic carcinoma. N Engl J Med 1989; 321: 419-24.
  12. Friedman AJ, Juneau-Norcross M, Rein MS. Adverse effects of leuprolide acetate depot treatment. Fertil Steril 1993; 59: 448-50.
  13. Levesque H, Trivalle C, Manchon ND, Vinel JP, Moore N, Hemet J, Courtois H, Bercoff E, Bourreille J. Fulminant hepatitis due to cyproterone acetate. Lancet 1989; 1: 215-6.
  14. Antoni M, Bourliere M, Toullec J, Maillot A, Botta-Fridlund D, Gauthier A. Fatal subfulminant hepatitis caused by cyproterone acetate. Gastroenterol Clin Biol 1991; 15: 772-3.
  15. Parys BT, Hamid S, Thomson RG. Severe hepatocellular dysfunction following cyproterone acetate therapy. Br J Urol 1991; 67: 312-3.
  16. Hirsch D, Kovatz S, Bernheim J, Shenkman L. Fatal fulminant hepatitis from cyproterone acetate. Isr J Med Sci 1994; 30: 238-40.
  17. Bressollette L, Dubois A, Carlhant D, Morand C, Mottier D, Riche C. Fatal hepatitis caused by cyproterone acetate. Therapie 1994; 49: 153.
  18. Pinganaud G, Chaslerie A, Bourdel Marchasson I, Decamps A, Manciet G, Emeriau JP. Cyproterone-induced hepatotoxicity. Ann Pharmacother 1995; 29: 634.
  19. Castellani P, Bernardini D, Renou C, Zamora C, Portal I, Gauthier A, Botta-Fridlund D. Fatal sub-fulminant hepatitis caused by cyproterone acetate. A new case. Gastroenterol Clin Biol 1996; 20: 915-6.
  20. Lombardi A, Ferrazza P, Castaldi F, Covotta L, Tesoriere A, Urbano V, Midiri G. Acute hepatic necrosis in a patient treated with cyproterone acetate. G Chir 1998; 19: 161-3.
  21. Manolakopoulos S, Bethanis S, Armonis A, Economou M, Avgerinos A, Tzourmakliotis D. Toxic hepatitis after sequential administration of flutamide and cyproterone acetate. Dig Dis Sci. 2004; 49: 462-5.