Journal of Gastroenterology
Research and Practice


Case Report - Open Access, Volume 4

Biliary ascariasis: Case report

Mata-Cárdenas EM1*; Aguilar Cuellar MF2,4; Cruz Vázquez KL2; Gónzalez López D3,4; Becerril-Flores MA1

1School of Medicine, Autonomous University of Hidalgo State (UAEH), Hidalgo Mexico.

2School of Medicine, Popular Autonomous University of the State of Puebla (UPAEP), Puebla Mexico.

3School of Medicine, Intermedica, Hidalgo Mexico.

4Department of General Surgery, La Campiña Hospital, Hidalgo Mexico.

*Corresponding Author : Mata Cárdenas Eduardo Mauricio
School of Medicine, Autonomous University of Hidalgo State (UAEH), Hidalgo Mexico.
Email: emmc142200@gmail.com

Received : Jan 24, 2024

Accepted : Feb 13, 2024

Published : Feb 20, 2024

Archived : www.jjgastro.com

Copyright : © Eduardo MMC (2024).

Abstract

A 23-year-old woman with no relevant past medical history with acute abdominal pain was referred to her primary care physician which decides to perform an abdominal ultrasound where a linear echoic and mobile image was shown compatible with Ascaris Lumbricoides. Empirical treatment was given with clinical and medical improvement.

Keywords: Ascaris lumbricoides; Abdominal pain; Ultrasound; Biliary ascariasis; Erratic migration.

Citation: Mata-Cárdenas EM, Aguilar Cuellar MF, Cruz Vázquez KL, Gónzalez López D, Becerril-Flores MA. Biliary ascariasis: Case report. J Gastroenterol Res Pract. 2024; 4(2): 1187.

Background

Currently, parasitic diseases pose a significant public health problem, particularly in developing countries like Mexico [1-6]. Ascariasis, the most common parasitic infection, affects approximately 25% of the global population. According to the World Health Organization (WHO) in 2016, it was estimated that over 1 billion people worldwide were infected, resulting in 20,000 deaths annually. Prevalence is higher in children aged 2 to 10 years [2].

Infection with Ascaris lumbricoides occurs in humans through the ingestion of eggs in contaminated food and water. Upon ingestion, mature eggs are stimulated by gastric acid, forming larvae that migrate to various parts of the body, including the small intestine, cecum, liver, pancreas, lungs, and, rarely, the biliary ducts [3].

Justification

The study of hepatobiliary ascariasis reveals it to be more common in adults (average age 35 years with a range of 4-70 years), predominantly in women (3:1), as seen in this case [1]. Most patients are asymptomatic or exhibit nonspecific symptoms such as anorexia, nausea, vomiting, diarrhea, and abdominal distension. However, in rare cases, it can manifest as a hepatobiliary disease with obstructive symptoms such as biliary colic, acute cholangitis, acute cholecystitis, and even acute pancreatitis in patients with a high parasite burden [5].

Clinical case description

A 23-year-old female patient with a history of polycystic ovary syndrome, laparotomy for left ovarian cyst resection (30% left ovary removed) in 2022, and current use of hormonal intrauterine device (Mirena). The patient consults her primary care physician with colicky abdominal pain (intensity 7 on the Numerical Analog Scale) for 2 days, located in the left flank and left iliac fossa. Accompanying symptoms included nausea, vomiting (4 episodes of food content), anorexia, and a fever of 38°C. The patient denied any additional symptoms upon directed questioning.

Vital Signs: Temperature 38.5°C, RR: 22 rpm, HR: 110 bpm, BP: 110/70 mmHg, SpO2 : 93% in ambient air. Physical examination revealed mild dehydration with dry oral mucosa, anicteric skin, normal neck without palpable lymph nodes, increased and rhythmic heart sounds without added phenomena, normal breath sounds, and a soft, depressible abdomen. Abdominal palpation elicited tenderness in the left flank and left iliac fossa. Hematological analysis showed no abnormalities, and abdominal ultrasound was performed due to a history of polycystic ovary syndrome.

Radiological description

- Liver: Normal contours and echogenicity, homogeneous ultrasound pattern, no intrahepatic bile duct dilation.

- Common bile duct: 1 mm diameter, portal vein: 6.8 mm diameter.

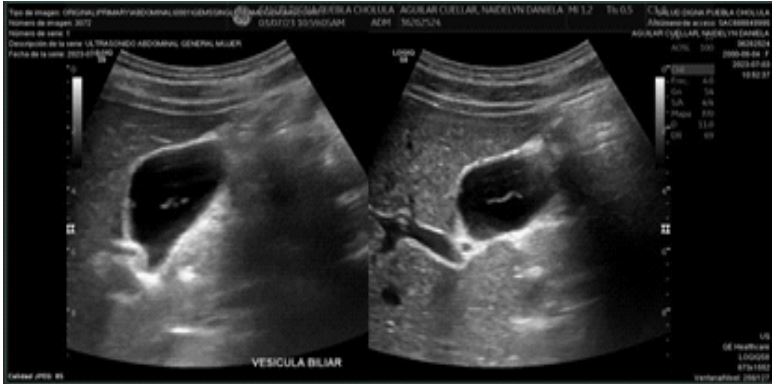
- Gallbladder: Normal shape and contours, dimensions 51x20x24 mm (longitudinal, anteroposterior, transverse), wall thickness 2.4 mm. An intravesicular image was observed: anterior wall hyperechoic, homogeneous, solid, regular contours, no color Doppler flow, immobile, measuring 2.9 mm.

Conclusion: Small polyp inside the gallbladder, echogenic linear image compatible with a nematode, probable biliary ascariasis (Figure 1).

Figure 1: Ultrasound image of biliary ascariasis.

A diagnosis of biliary ascariasis was established, and treatment was initiated with Metronidazole 500 mg every 12 hours for 7 days, along with symptomatic treatment using Metoclopramide 10 mg every 8 hours for 5 days and Paracetamol 500 mg every 8 hours for 5 days, resulting in a satisfactory resolution and evolution.

Subsequent control ultrasound reported:

- Gallbladder: Normal shape and contours, dimensions 57x21x24 mm (longitudinal, anteroposterior, transverse). Volumes: 17.7 cc. Thin wall (1.9 mm) heterogeneous due to a localized image at the body and anterior wall measuring 2x1 mm, hyperechoic, homogeneous, solid, regular contours, avascular.

Conclusion: Small polyp inside the gallbladder. No other abnormalities noted in this study (Figure 2).

Figure 2: Control ultrasound without alterations.

Comparison with literature

Ascaris lumbricoides, the largest intestinal nematode, has a life cycle in humans that begins with the ingestion of parasite eggs in contaminated food. The eggs hatch in the intestine, and the larvae migrate through the lymphatic and blood vessels to the lungs, alveoli, upper airway, and then back to the intestine to mature into adult larvae. At this point, they can travel to different organs (Figure 3) [3].

The natural habitat is the jejunum, but hepatobiliary ascariasis is caused by a high parasite load, leading them to move proximally to the duodenum (duodenal ascariasis) and then enter the ampulla of Vater, rarely reaching the gallbladder (biliary ascariasis). Invasion of Ascaris can rarely cause papillary edema and motor dysfunction of the Oddi sphincter, leading to biliary drainage disorders [1,5]. Regarding the clinical presentation, hepatobiliary ascariasis can manifest in six clinical forms: 1) biliary colic, 2) acute cholangitis, 3) acalculous cholecystitis, 4) hepatic abscess, 5) acute pancreatitis, and 6) recurrent pyogenic cholangitis.

Diagnosis of biliary ascariasis is made through ultrasound, duodenoscopy, and ERCP (endoscopic retrograde cholangiopancreatography). Laboratory studies such as complete blood count, liver function tests, creatinine, and serum amylase help assess the severity of the disease. The identification of eggs in stool has low diagnostic value due to its prevalence in Mexico.

The presence of Ascaris lumbricoides in ultrasound is observed as hyperechoic, curved, elongated structures with rapid real-time movements, accompanied by marked gallbladder wall edema. Magnetic Resonance Imaging can also be used, providing a three-dimensional image. In this study, Ascaris appears as linear and tubular hyperdense structures with a central hypodense zone [3].

Treatment depends on the clinical severity of the patient’s syndrome, with three modalities available: 1) non-surgical management (pharmacological treatment), 2) surgical management for patients not responding adequately to medications or in cases of severe complications, and 3) endoscopic management [4].

ERCP is an effective diagnostic and therapeutic endoscopic method used to visualize and remove nematodes from the biliary tract at the time of diagnosis.

Adequate eradication has been demonstrated with the administration of highly effective anthelmintic drugs such as Pyrantel, Albendazole, Metronidazole, Ivermectin, and Mebendazole [5].

Once the parasite is dead, it is expelled through peristaltic activity, but it may produce biliary sludge and, consequently, brown gallstones [5].

Conclusion

Ascariasis remains a significant health problem in developing countries like Mexico. Although biliary parasitosis is rare, the nonspecific clinical presentation prompts consideration of other diagnostic possibilities, emphasizing the importance of the studied population. Simple diagnostic tools such as ultrasound are used to observe nematode characteristics, as seen in this case. Regarding treatment, the choice between pharmacological or invasive management depends on the case’s severity.

Declarations

Conflict of interests: The authors have no conflicts of interest to declare.

Patient consent: The patient had given verbal consent for publication of details of the case.

References

  1. Echeverría G, Linarez B, Marruffo M, Mendoza S, Arévalo G, et al. Ascaridiasis Biliar: A propósito de un caso. Gen. 2018; 72(1): 28-32. http://ve.scielo.org/scielo.php?script=sci_arttext&pid=S 001635032018000100007&lng=es&tlng=es
  2. Celac R. Ascariasis. 2020. https://portales.sre.gob.mx/redcelac/ enfermedadesprovocadas-por-parasitos/11-parasitos/31-ascariasis
  3. Chungara Montaño J, Arévalo Barea RA. ASCARIOSIS VÍA BILIAR INTRAHEPÁTICA: INFORME DE CASO. Revista Médica La Paz. 2011; 17(2): 39-45. http://www.scielo.org.bo/scielo. php?script=sci_arttext&pid=S172689582011000200007&lng=e s&tlng=es
  4. Jouhar J, Kolleri, J. 2023. https://www.cureus.com/ articles/115014-a-case-reporton-biliary-ascariasis.pdf
  5. Khuroo MS, Rather AA, Khuroo NS, Khuroo MS. Hepatobiliary and pancreatic ascariasis. World J Gastroenterol. 2016; 22(33): 7507-17. doi: 10.3748/wjg.v22.i33.7507.
  6. Werner Apt, B. 2014. https://www.elsevier.es/es-revista-revistamedica-clinica-lascondes-202-articulo-infecciones-por-parasitos-mas-frecuentes-S071686401470065