Journal of Gastroenterology
Research and Practice


Case Report - Open Access, Volume 4

Hidden within the blood: A case report on hematemesis from gastric ulcers as an atypical presentation of diffuse large B-cell lymphoma

Ayanna Denise S Lariosa1*; Anne Kimberly Lim-Fernandez2

1San Pedro Hospital Inc, Philippines.

2Medical and Research Center Richelle May Cajoles- Pagarigan, Southern Philippines Medical Center, Philippines.

*Corresponding Author : Ayanna Denise S Lariosa
San Pedro Hospital Inc, Philippines.
Tel: 09772100897;
Email: ayannalariosa@gmail.com

Received : Jul 10, 2024

Accepted : Aug 06, 2024

Published : Aug 13, 2024

Archived : www.jjgastro.com

Copyright : © Lariosa ADS (2024).

Abstract

Background: Diffuse Large B Cell Lymphoma (DLBCL) is the most prevalent subtype of Non Hodgkin Lymphoma (NHL), comprising around 25% of all NHLs [1]. DLBCL typically presents with symptoms of nodal involvement but can have other various manifestations. Gastric DLBCL is uncommon, with an incidence of 7/100,000 and usually presents with epigastric pain, nausea, vomiting and unexplained weight loss, but it rarely presents as hematemesis. To our knowledge, there are only three other cases in English literature documenting upper gastrointestinal bleed as the initial presentation of DLBCL.

Case presentation: This is a case of a 62-year-old female who came in due to hematemesis. Patient is hypertensive and diabetic with no significant family history. She was initially managed as a case of upper gastrointestinal bleeding probably secondary to bleeding peptic ulcer disease. Esophagogastroduodenoscopy revealed a wide-based ulcer with heaped-up regular borders and nonbleeding visible vessel at the center of the fundus and clean-based ulcers with heaped up regular borders at the proximal lesser curvature. There were no tortuous vessels seen in the esophagus. Samples were sent for histopathology revealing atypical lymphoid proliferation. Immunohistochemical staining were done which revealed to be positive for CD20, with 80-90% expression of BCL2 and ki-67 supporting the diagnosis of DLBCL. Patient was then started on chemotherapy with the R-CHOP regimen (Rituximab plus cyclophosphamide, vincristine, doxorubicin, and prednisone) and is now in complete remission.

Conclusion: This case emphasizes a rare presentation of DLBCL as upper gastrointestinal bleed without the typical manifestations of fever, weight loss, night sweats and lymphadenopathies. A high index of suspicion and knowledge of atypical presentation of DLBCL, such as in our case, may lead to early diagnosis and management, improving prognosis and patient outcomes.

Keywords: Diffuse large B-cell lymphoma; Non hodgkin lymphoma; Upper gastrointestinal bleed; Hematemesis.

Citation: Lariosa ADS, Lim-Fernandez AK. Hidden within the blood: A case report on hematemesis from gastric ulcers as an atypical presentation of diffuse large B-cell lymphoma. J Gastroenterol Res Pract. 2024; 4(7): 1210.

Introduction

Lymphoma is a malignancy of the lymphocytes that can develop from B lymphocytes, T lymphocytes, or the Natural Killer (NK) cells during the different stages of maturation. The two types of lymphomas are Hodgkins (HL) and Non-Hodgkins Lymphoma (NHL). NHL accounts for nearly 80% of all lymphomas. DLBCL is the most common NHL subtype, accounting for approximately 25% of cases [1]. DLBCLs are thought to occur at an incidence of 4.68 per 100,000. Gastric DLBCL is uncommon, with an incidence of 7/100,000 [2]. In the Philippines, NHL caused 2,415 fatalities and 4,140 new cases in 2020 [3].

DLBCL comes from mature B-cells at different stages of differentiation. Numerous gene mutations promote changes in B-cells, changing the gene expression and promoting a neoplastic transformation. It typically presents with a rapidly enlarging symptomatic mass, usually nodal enlargement in the neck or abdomen. Systemic “B” symptoms such as fever, weight loss, drenching night sweats are also observed in the majority of patients. Extranodal involvement is common among those presenting with stage I or II disease. The gastrointestinal tract, particularly the stomach, is the most frequent extra nodal site of DLBCL [4]. To the best of our knowledge, in previously reported cases, patients would present with upper gastrointestinal bleeding from primary gastric lymphoma. In this case, we presented a rare case of direct diffuse large B-cell lymphoma invasion to the stomach wall that presented as hematemesis [5-12].

Upper gastrointestinal bleeding is a medical emergency that warrants immediate intervention and is usually due to a bleeding peptic ulcer, esophageal or gastric varices, or vascular lesions, but rarely due to a lymphoma. Esophagoduodenoscopy should be performed, and a diagnosis of DLBCL is made through biopsy of the lesion. Multiple treatment strategies such as surgery, radiotherapy, and chemotherapy are part of the interventions [5].

In the few reported literature, DLBCL would not present with the usual signs and symptoms, which poses a diagnostic challenge. A good clinical eye and high index of suspicion will lead to prompt recognition and management of DLBCL with atypical presentations which in turn would lead to a decrease in mortality in these patients.

Case presentation

This is a case of a 62-year-old Filipino female, hypertensive and diabetic, who presented with vomiting of bright red blood admixed with blood clots amounting to approximately 200 ml. She denies any other symptoms such as abdominal pain, fever, night sweats, melena, hematochezia, early satiety, and weight loss. She has no history of nonsteroidal anti-inflammatory drugs, steroids, and herbal medications intake. She has no significant environmental exposure to chemicals or pollutants and has no known family history of malignancy. The patient also denies smoking and alcohol history.

At the emergency department, there was a recurrence of hematemesis amounting to 100 ml. Vital signs showed hypotension at 80/50 mmHg, and tachycardia at 112 bpm. Physical examination revealed pallor with pale palpebral conjunctiva, the abdomen was flat, with normoactive bowel sounds, is soft, nontender, with no palpable masses appreciated. No palpable lymph nodes were noted and there were no stigmata of liver disease. Baseline laboratories revealed anemia with a hemoglobin of 85 g/L, while the rest of the laboratories were unremarkable. Whole abdomen ultrasound revealed pancreatic body lesion versus per pancreatic lymphadenopathy measuring 1.8x1.2x2.1 centimeters (cm) and external iliac lymphadenopathy in the left measuring 4×2.7×2.4 cm. She was managed as a case of upper gastrointestinal bleeding probably secondary to bleeding peptic ulcer disease, to rule out possible variceal bleeding. She was started on octreotide and proton pump inhibitor drip.

Anemia was corrected with transfusion of 2 units packed red blood cells.

Esophagogastroduodenoscopy (EGD) was performed, as shown in Figures 1 and 2 revealing: stomach lumen filled with bile-stained gastric secretions with intact rugal folds and distensible walls. A wide-based ulcer with heaped-up regular borders and nonbleeding visible vessel at the center, measuring around 3x3 cm, was noted at the fundus. Clean-based ulcers with heaped up regular borders measuring around 1 cm were also noted at the fundus and at the proximal lesser curvature. There were no tortuous vessels seen in the esophagus.

Image is Not Display Check it
Figure 1: A: Unremarkable Descending Duodenum, B: Clean based ulcer on the corpus, C: Post epinephrine injection and hemoclips application.

Image is Not Display Check it
Figure 2: D: Gastric Ulcer Forrest Class IIA, E: Ulcer on the Fundus, F: Bile stained gastric fluid.

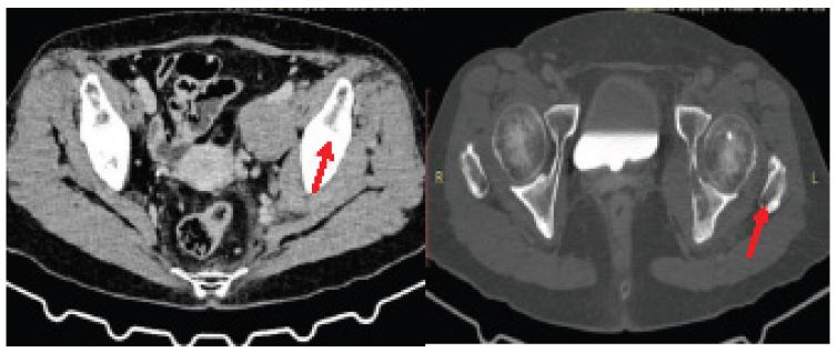
After EGD, the patient had one episode of melena, which was likely a residual without reported recurrence thereafter. Patient was clinically improving and discharged with oral proton pump inhibitors and was advised for follow-up with histopathology report. There was no recurrence of the gastrointestinal bleeding. On follow-up, histopathology of the gastric ulcers revealed atypical lymphoid proliferation with no dysplasia or intestinal metaplasia. The specimens were sent for immunohistochemical staining and the patient was advised to undergo Whole Abdomen Computed Tomography (CT) scan with IV contrast to further evaluate the findings in the whole abdomen ultrasound. CT scan of the whole abdomen revealed an intramuscular mass, at the left obturator internus muscle with lytic changes in the adjacent ischium and acetabulum with ipsilateral pelvic lymphadenopathies, gastric wall thickening was also reported suggestive of gastritis with gastric ulcer, at the proximal body (Figure 3). The immunohistochemical stains showed that the atypical cells stained positive for CD20, with 80-90% expression of BCL2 and ki-67 and negative for CD10 and CD3. These findings support the diagnosis of a primary diffuse large B-cell lymphoma (Figure 4). The patient was then referred to a Medical Oncologist.

Image is Not Display Check it
Figure 3: Intramuscular mass on the left obturator internus muscle with lytic changes in the adjacent ischium acetabulum with ipsilateral pelvic lymphadenopathies.

Image is Not Display Check it
Figure 4: Immunohistochemica l staining of the gastric ulcers (A) Negative (B) CD20 Positive (C) CD10 Negative (D) BCL2 Positive (E) KI67 Positive (F) MUM1 (G) CMYC (H) BCL6 (I) BCL6 H.

A Positron Emission Tomography (PET) CT was also performed for staging and further work-up, showing the following hypermetabolic lesions: enlarged pre-vascular lymph node, diffuse enhancing gastric wall thickening, enlarged perigastric lymph nodes, lobulated enhancing left pelvic side wall mass with erosive changes in the adjacent left ischium and acetabulum, enlarged left external and internal iliac lymph nodes and enlarged lymph node between the left pectineus and adductor muscles (Figure 5).

The patient underwent chemotherapy with rituximab, plus cyclophosphamide, vincristine, doxorubicin, and prednisone (R-CHOP). She received a total of 6 cycles of R-CHOP.

Image is Not Display Check it
Figure 5: PET CT scan showing hypermetabolic lesions.

During the fourth month follow-up, no recurrence of the hyper metabolic lesions was observed as seen on the repeat PET CT scan (Figure 6) showing complete metabolic response with no hyper metabolic nodal disease and interval disappearance of the enlarged lymph nodes/mass in the chest, abdomen and pelvis. There was interval resolution of the diffuse enhancing gastric wall thickening showing good treatment response. Until present, our patient is in complete remission.

Image is Not Display Check it
Figure 6: PET CT scan showing complete metabolic response with no hyper metabolic nodal disease and interval disappearance of the enlarged lymph nodes/mass in the chest, abdomen and pelvis.
Image is Not Display Check it
Figure 7: Case timeline.

Discussion

A lymphoma is a malignancy arising from B lymphocytes, T lymphocytes, or Natural Killer cells (NK cells) at various stages of development. Lymphomas can be classified into Hodgkins and Non-Hodgkins lymphoma. B-cells are known to have functional diversity to transform into multiple pathways. NHLs are a type of cancer that occurs due to the expansion and accumulation of a single mature clone of lymphocytes. The most prevalent subtype is Diffuse Large B-Cell lymphoma (DLBCL), which is characterized by the diffuse proliferation of large and mature B-cells. These cells are typically larger than normal lymphocytes. The normal size of macrophages or lymphocytes [1].

DLBCL has a variety of subtypes and exhibits clinical and biochemical heterogeneity.

It may develop as a primary or de novo, or as a result of an indolent lymphoma’s transformation. The majority of cases would occur in the lymph nodes, and 40% occur in extranodal sites. The gastrointestinal tract, specifically the stomach, is the most common location of extranodal involvement, but they can also affect the skin, central nervous system, bone marrow, salivary gland, lung, kidney, and liver. In 11% to 27% of instances, the bone marrow is involved, but it seldom infiltrates the peripheral circulation [6].

Epidemiology

According to the 2020 GLOBOCAN data, 544,352 new cases of Non-Hodgkin Lymphoma (NHL) were diagnosed in 2020, making up almost 3% of cancers worldwide.

According to Boussios, S. et al., the annual incidence rate of DLBCL was 2.9 per 100,000 and 40% of these were extranodal involvement [7]. The incidence of non-Hodgkin lymphoma in the United States is approximately 7 cases per 100,000 per year while in the in the Philippines, NHL caused 2,415 fatalities and 4,140 new cases in 2020 that is according to the GLOBOCAN data. It occurs more frequently in whites, followed by African Americans and Asians with male preponderance and a median age of 64 years. The overall incidence increases exponentially with age.

Clinical manifestations

In most cases, the typical presentation of DLBCL is a rapidly enlarging symptomatic mass with nodal enlargement in the neck or abdomen. However, they can also show as a mass lesion elsewhere on the body. In those in stage I/II of the disease, extranodal involvement is very common, with the stomach being the most typical location. Systemic “B” symptoms, including fever, weight loss, and drenching night sweats, are observed in around 30% of patients [8]. Gastric DLBCL usually presents with symptoms of epigastric pain, nausea, vomiting and unexplained weight loss. Rarely is GI bleeding the primary complaint. In the case of this patient, she did not present with the typical presentation of DLBCL but instead, presented with hematemesis.

Gastric and duodenal ulcers, esophagogastric varices with or without portal hypertensive gastropathy, and Dieulafoy’s lesions are the most common etiologies of upper gastrointestinal bleeding while, hematologic malignancies are rare causes of hematemesis and, when identified, are mostly present in the duodenum [5].

Pathogenesis

DLBCL can arise in several ways, including de novo or through the transformation of different types of low-grade B-cell lymphomas. These include B-cell chronic lymphocytic leukemia (known as Richter’s transformation), lymphoplasmacytic lymphoma, follicular lymphoma, marginal zone (MALT) lymphoma, and splenic marginal zone lymphoma [4]. DLBCL is a heterogeneous category of NHL that includes distinct clinicopathologic entities, including: T cell/histiocyte-rich large B cell lymphoma, Primary mediastinal large B cell lymphoma, Intravascular large B cell lymphoma, Lymphomatoid granulomatosis, EpsteinBarr virus (EBV)-positive large B cell lymphoma, EBV-positive DLBCL, Not Otherwise Specified (NOS), Primary DLBCL of the Central Nervous System (CNS), Primary cutaneous DLBCL, leg type, DLBCL associated with chronic inflammation [9].

DLBCL is a heterogeneous category of NHL that includes distinct clinicopathologic entities, including: T cell/histiocyte-rich large B cell lymphoma, Primary mediastinal large B cell lymphoma, Intravascular large B cell lymphoma, Lymphomatoid granulomatosis, EpsteinBarr virus (EBV)-positive large B cell lymphoma, EBV-positive DLBCL, Not Otherwise Specified (NOS), Primary DLBCL of the Central Nervous System (CNS), Primary cutaneous.

DLBCL, leg type, DLBCL associated with chronic inflammation [9].

Diagnosis

The diagnosis of DLBCL is best made based on excisional tissue biopsy, most commonly a lymph node. While an excisional lymph node biopsy is the preferred diagnostic test for most patients, some patients do not present with overt lymphadenopathy and require the pathologic evaluation of another tissue (pleural fluid, spleen) for diagnosis.

The pathologic diagnosis of DLBCL is based on morphology and immunophenotyping, which is essential to make the diagnosis. Staining for pan-B cell markers, such as CD20 and CD79a, is sufficient to establish the diagnosis in many cases, but a much broader set of stains may be needed in cases with atypical morphologic features [10].

For this case, biopsy of the gastric ulcers was done due to its unusual appearance which revealed atypical lymphoid proliferation. Samples of the said gastric ulcers were then sent for immunohistochemical, wherein the results were suggestive of DLBCL.

Staging of DLBCL [1]:

Stage I - NHL involving one lymph node region or extra lymphatic site

Stage IE - Involvement of single extra lymphatic site involvement

Stage II - Involving two or more lymph nodes on the same side of the diaphragm

Stage III - Involving lymph nodes on both the sides of the diaphragm

Stage IV - Spreads into one or more extra-lymphatic organs (bone marrow, liver, and lung) with or without the involvement of the lymph node

Treatment

Treatment of DLBCL has changed in the past years. Surgery was considered as first-line treatment until recently. Nowadays, surgery is not preferred unless there is a need for urgent surgical intervention, such as in cases of severe perforation or bleeding or palliative treatment [5].

It was in the 1970s that cyclophosphamide, doxorubicin, vincristine, and prednisone were developed to treat NHL. The classic CHOP regimen remained unbeatable until the early 2000s, even when attempts were made to intensify or add new drugs to the chemotherapy regimen. Having undergone clinical trials, the US Food and Drug Administration approved IDEC-C2B8, later known as rituximab, as the first treatment for patients [11]. Rituximab is an anti-CD20 monoclonal antibody and administered intravenously at 375 mg/m2 [1]. Additionally, rituximab was found to be effective in the monotherapy treatment of DLBCL patients.

Not only is treatment dependent on the stage of the disease, but also on its type (indolent or aggressive) and its molecular subtype. Despite DLBCL’s aggressive nature, it is capable of long-term survival with appropriate chemotherapy, although the cure rate is low. Patients respond well to 6 cycles of rituximab along with cyclophosphamide, doxorubicin, vincristine, and prednisone (R-CHOP) regimen given every 21 days [1]. In this patient, the treatment consisted of 6 cycles of chemotherapy with the R-CHOP regimen, for which she responded well and lead to remission.

The more aggressive approach is rituximab, doxorubicin, Cyclophosphamide, Vindesine, Bleomycin, and Prednisone (R-ACVBP), followed by consolidation with methotrexate and leucovorin. Studies have suggested using six to eight cycles of rituximab, etoposide, prednisone, vincristine, cyclophosphamide, and doxorubicin (R-EPOCH) in patients with advanced double hit DLBCL. Intravenous rituximab therapy has become the backbone for the treatment of indolent lymphomas. Other regimens include (R-CHOP); bendamustine or cyclophosphamide, doxorubicin, and prednisone (R-CVP) [2].

Prognosis

DLBCL is curable in approximately half of cases, DLBCL is curable with current available therapy, especially those who achieve a complete remission with first-line treatment. Age, socioeconomic conditions, comorbid conditions, performance status, and various clinical features are among the tumor-extrinsic factors that contribute to disease outcome [1].

The main prognostic tool for patients with DLBCL is the International Prognostic Index (IPI). Shorter overall survival is seen in patients with the following prognostic factors: Age of more than 60 years, a serum Lactate Dehydrogenase (LDH) concentration greater than normal, Eastern Cooperative Oncology Group (ECOG) performance status ≥2, clinical stage III or IV and more than 1 extra nodal disease site [1].

Conclusion

DLBCL is the most common histologic subtype of NHL, accounting for approximately 30% of cases. Most DLBCLs will originate in lymph nodes however, extra nodal sites can be involved in ≤40% of cases. It typically presents as a rapidly enlarging symptomatic mass with nodal enlargement in the neck or abdomen but can also present atypically. DLBCL may present with unusual, atypical symptoms and commonly in advanced stage at the onset of diagnosis. The gastrointestinal tract is the most common site of origin, but other organs and tissues, such as the mediastinum, testis, CNS, breast, and bone, may also be involved.

This case emphasizes DLBCL as a rare cause of gastric ulcer resulting to GI bleeding. A high index of suspicion and knowledge of atypical presentations of DLBCL, such as in our case, may lead to early diagnosis and management, improving prognosis and patient outcomes.

References

  1. Padala SA, Kallam A. Diffuse Large B-Cell Lymphoma. [Updated 2023 Apr 24]. In: StatPearls [Internet]. Treasure Island (FL): StatPearls Publishing; 2023. Available from: https://www.ncbi.nlm.nih.gov/books/NBK557796/.
  2. Rezaei-Kalantari K, Samimi K, Jafari M, Karimi MA, Ansari K, et al. Primary diffuse large B cell lymphoma of the cranial vault. Iranian journal of radiology: A quarterly journal published by the Iranian Radiological Society. 2012; 9(2): 88-92. https://doi.org/10.5812/iranjradiol.7734.
  3. Ferlay J, Ervik M, Lam F, Colombet M, Mery L, et al. Global Cancer Observatory: Cancer Today. Lyon, France: International Agency for Research on Cancer. 2020.
  4. Gouveia GR, Siqueira SA, Pereira J. Pathophysiology and molecular aspects of diffuse large B-cell lymphoma. Revista brasileira de hematologia e hemoterapia. 2012; 34(6): 447-451. https://doi.org/10.5581/1516-8484.20120111.
  5. O Telci Caklili, HH Mutlu, Y Colak, E Ozturk, D Kosemetin Dover, et al. “Massive Upper Gastrointestinal Bleeding Caused by Diffuse Large B-Cell Lymphoma”, Case Reports in Gastrointestinal Medicine. 2016; 2016: 5079709. https://doi.org/10.1155/2016/5079709
  6. Gouveia, G. R., Siqueira, S. A., & Pereira, J. (2012). Pathophysiology and molecular aspects of diffuse large B-cell lymphoma. Revista brasileira de hematologia e hemoterapia, 34(6), 447–451. https://doi.org/10.5581/1516-8484.20120111
  7. Boussios, S., Zerdes, I., Vassou, A., Bareta, E., Seraj, E., Papoudou-Bai, A., Pavlidis, N., Batistatou, A., & Pentheroudakis, G. (2018). Extranodal diffuse large B-cell lymphomas: A retrospective case series and review of the literature. Hematology reports, 10(1), 7070. https://doi.org/10.4081/hr.2018.7070
  8. Armitage JO, Weisenburger DD. New approach to classifying non-Hodgkin’s lymphomas: Clinical features of the major histologic subtypes. Non-Hodgkin’s Lymphoma Classification Project. Journal of clinical oncology: Official journal of the American Society of Clinical Oncology. 1998; 16(8): 2780-2795. https://doi.org/10.1200/JCO.1998.16.8.2780
  9. Sehn LH, Salles G. Diffuse Large B-Cell Lymphoma. The New England journal of medicine. 2021; 384(9): 842-858. https://doi.org/10.1056/NEJMra2027612
  10. Stein H, Lennert K, Feller AC, Mason DY. Immunohistological analysis of human lymphoma: correlation of histological and immunological categories. Advances in cancer research. 1984; 42: 67-147. https://doi.org/10.1016/s0065-230x(08)60456-x
  11. Vodicka P, Klener P, Trneny M. Diffuse Large B-Cell Lymphoma (DLBCL): Early Patient Management and Emerging Treatment Options. Onco Targets Ther. 2022; 15: 1481-1501. https://doi.org/10.2147/OTT.S326632
  12. Kim MS, Park JH, Kim JY, Lim SN, Lee J. Upper gastrointestinal bleeding caused by direct invasion of diffuse large B-cell lymphoma into the stomach in a patient with HIV infection: A case report. Medicine. 2019; 98(28): e16363. https://doi.org/10.1097/MD.0000000000016363

APPENDIX A

Laboratory results, imaging, histopathology and immunohistochemical stain reports.

Table 1: The course of endoscopic treatments.
Test Name Result Reference Range
Hemoglobin 85 120-140 g/L
Hematocrit 0.25 0.37-0.45L/L
RBC Count 3.0 4.5- 5.0x1012/L
WBC Count 9.8 5-10x10 9 /L
Neutrophils 66.3 55-65% (H)
Lymphocytes 18.9 35-45% (L)
Platelet count 230 140- 440x109/L
Test Name Result Reference Range
Hemoglobin 105 120-140 g/L
Hematocrit 0.33 0.37-0.45L/L
RBC Count 3.9 4.5- 5.0x1012/L
WBC Count 19.4 5-10x10 9 /L
Neutrophil 75.8 55-65% (H)
Lymphocytes 14.4 35-45% (L)
Platelet count 310 140- 440x109/L
Test Name Result
Creatinine 99
Na 133
K 4.1
T Ca 1.20
Mg 0.60
Albumin 29.8
BUN 7.53
ALT 8
Table 2: The course of endoscopic treatments.
Test Name Result
PT 11.6
PT Control 13.0
% Act 98.5
INR 1.01
APTT 30.1
APTT control 36
Table 3: The course of endoscopic treatments.

Chest X-ray

Consider Cardiomegaly

Atherosclerotic Aorta

Degenerative Change in the Spine.

Upper gastrointestinal endoscopy (10/25/22)

Duodenogastric Bile Reflux Gastric Ulcer, Forrest Class Iia, Fundus, S/P Injection

Sclerotherapy, S/P Hemoclip Application Gastric Ulcer, Forrest Class Iii, Corpus and Fundus Erosive Gastropathy, Corpus Biopsy: H. Pylori Negative.

Ct-Scan whole abdomen (11/10/23)

1. Intramuscular Mass, Left Obturator Internus Muscle with Lytic Changes In The Adjacent Ischium and Acetabulum with Ipsilateral Pelvic Lymphadenopathies

2. Simple Hepatic Cyst, Segment 3

3. Gastric Wall Thickening Suggestive Of Gastritis With Gastric Ulcer, Proximal Body

4. Simple Renal Cortical Cyst, Left (Bosniak 1)

5. Senile Osteoporosis

6. Thoracolumbar Spondylosis

7. Incidental Note Of Minute Pulmonary Nodule, Medial Basal

Segment, Right Lower Lobe (Too Small To Characterize)

Surgical pathology report (11/1/23)

A) Gastric Ulcer, Biopsy:

- Atypical Lymphoid Proliferation

- No Dysplasia Or Intestinal Metaplasia

- No H. Pylori Organism Seen (On H&E Stain)

B) Gastric Ulcer, Biopsy:

- Atypical Lymphoid Proliferation

- No Dysplasia Or Intestinal Metaplasia

- No H. Pylori Organism Seen (On H&E Stain)

Immunohistochemical report (11/11/22)

A And B) Gastric Ulcer, Biopsies:

- High Grade B-Cell Lymphoma ( 2022 Who/Icc)

- Immunoperoxidase Report:

- Cd20 - Positive In Sheets Of Large Cells

- Cd3 - Negative

- Cd10 - Negative

- Bc2 - Positive, 80-90% Ki-67 - Positive, 80-90%

Whole-body FDG PET/CT (11/28/22)

- Enlarged prevascular lymph node

- Diffuse enhancing gastric wall thickening

- Enlarged perigastric lymph nodes

- Lobulated enhancing left pelvic side wall mass with erosive changes in the adjacent left ischium and acetabulum

- Enlarged left external and internal iliac lymph nodes

- Enlarged lymph node between the left pectineus and adductor muscles

Whole-body FDG PET/CT (4/14/23)

Complete metabolic response with no hypermetabolic nodal disease and interval disappearance of the enlarged lymph nodes/mass in the chest, abdomen and pelvis. Interval resolution of the diffuse enhancing gastric wall thickening. Known case of high-grade B-cell Lymphoma, s/p 6 cycles chemotherapy showing good treatment response.