Journal of Gastroenterology
Research and Practice


Case Report - Open Access, Volume 4

Hiatal hernia after laparoscopic radical gastrectomy for cardia cancer: Case report

Dalai Xu1#; Lei Qiu1#; Feng Lu1#; Xuzhu Gao2*; Yongchang Miao1*; Gang Wang1*

1Department of General Surgery, The Second People’s Hospital of Lianyungang, Lianyungang, China.

2Institute of Clinical Oncology, The Second People’s Hospital (Cancer Hospital of Lianyungang), Lianyungang, China.

#Equal Contribution.

*Corresponding Author : Xuzhu Gao; Yongchang Miao; Gang Wang
Institute of Clinical Oncology, The Second People’s Hospital of Lianyungang City (Cancer Hospital of Lianyungang), Lianyungang, China.
Tel: +86-19951881226;
Email: alexgwan@163.com; lygeymyc@163.com; whiteching@foxmail.com

Received : Jul 16, 2024

Accepted : Aug 12, 2024

Published : Aug 19, 2024

Archived : www.jjgastro.com

Copyright : © Gao X; Miao Y; Wang G (2024).

Abstract

Background: To analyze the occurrence and clinical features of hiatal hernias following laparoscopic radical gastrectomy for cardia cancer, and discuss potential causes and methods of prevention and treatment.

Methods: This retrospective study examined a case involving a patient who underwent laparoscopic radical gastrectomy for cardia cancer at the Second People’s Hospital of Lianyungang.

Results: The patient underwent a laparoscopic procedure for small bowel reduction and esophageal hiatus hernia repair, subsequently recovering smoothly and being discharged in a cured state.

Conclusion: Hiatal hernia is a rare complication following surgery for cardia cancer. Adequate preoperative respiratory preparations should be made to facilitate effective expectoration, improve the patient’s nutritional status to mitigate tissue edema, and minimize damage to the diaphragmatic pillars during surgery, choosing an appropriate method of anastomosis. Once a postoperative hiatal hernia is diagnosed, early surgical intervention is recommended, with laparoscopic surgery being a safe and effective approach.

Keywords: Gastric cancer; Laparoscopic surgery; Total gastrectomy; Postoperative hiatal hernia.

Citation: Xu D, Qiu L, Gao X, Miao Y, Wang G, et al. Hiatal hernia after laparoscopic radical gastrectomy for cardia cancer: Case report. J Gastroenterol Res Pract. 2024; 4(7): 1211.

Introduction

Gastric cancer is one of the most common cancers worldwide. According to the latest global cancer burden data released by the International Agency for Research on Cancer of the World Health Organization in 2020, gastric cancer is the fifth most prevalent malignant tumor worldwide, with approximately 1.09 million new cases and ranking fourth in mortality among cancers, resulting in 770,000 deaths [1,2]. Although the standardized incidence and mortality rates of gastric cancer have been declining in most countries and regions around the world in recent years, they remain relatively high in China [3].

Currently, the main treatment modality is surgery combined with perioperative radio chemotherapy [4]. Historically, clinicians preferred conventional open gastrectomy, but with advances in laparoscopic equipment, surgical techniques, and the experience of surgeons in laparoscopic procedures, Laparoscopic Gastrectomy (LG) has been widely accepted for the treatment of gastric cancer. It is minimally invasive, cosmetically favorable, and allows for quicker recovery, offering similar oncological outcomes to traditional Open Gastrectomy (OG). Moreover, compared to OG, LG tends to have a lower rate of postoperative adhesions due to less manipulation [5-7]. In recent years, various types of total LG with intracorporeal anastomosis have flourished and have become one of the standard surgical approaches for proximal gastric cancer. However, the advancement of technology can also bring potential pitfalls. Reports suggest that LG may increase the risk of internal hernias compared to OG, especially after total gastrectomy with Roux-en-Y reconstruction [8], which is prone to complications such as mesenteric hernias and Petersen’s hernias [9]. In particular, hiatal hernia following laparoscopic total gastrectomy is a rare complication with few reports to date [10]. Because a hiatal hernia involves the herniation of abdominal contents through a diaphragmatic defect into the thoracic cavity, it can significantly affect the patient’s intestinal and cardiopulmonary function. Delayed surgery can lead to complications such as intestinal incarceration, stricture, and necrosis, which can be life-threatening in severe cases. Thus, hiatal hernia after total gastrectomy is a potential complication that warrants clinical attention. Timely recognition and diagnosis, followed by the best treatment approach, are crucial.

In this study, we retrospectively analyzed a case of hiatal hernia following surgery for cardia cancer in the Department of Gastrointestinal Surgery at the Second People’s Hospital of Lianyungang, aiming to assess the incidence, clinical features, and summarize the causes and prevention methods of hiatal hernia after laparoscopic total gastrectomy.

Case report

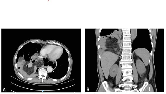
The patient, a 71-year-old male with a BMI of 23.4 kg/m2, underwent a gastroscopy on March 9, 2023, which revealed a cardia mass. Pathology confirmed adenocarcinoma. Preoperative thoracoabdominal Computed Tomography (CT) showed intact bilateral pleura without thickening, no pleural effusion, and an intact diaphragm (Figures 1A & 1B). On March 6, 2023, he underwent a laparoscopic radical total gastrectomy, D2 lymph node dissection, and esophagojejunostomy with Roux-en-Y reconstruction at our hospital. Histopathology revealed moderately to poorly differentiated gastric adenocarcinoma G3, with tumor staging of ypT3, ypN0 (0/22), L0, V0, R0, cM0. On postoperative day 17, a follow-up thoracoabdominal CT showed localized thickening of the bilateral pleura, a small amount of right pleural effusion, and the esophagojejunostomy located within the thoracic cavity (Figures 1C & 1D). The patient was discharged cured and received adjuvant chemotherapy thereafter.

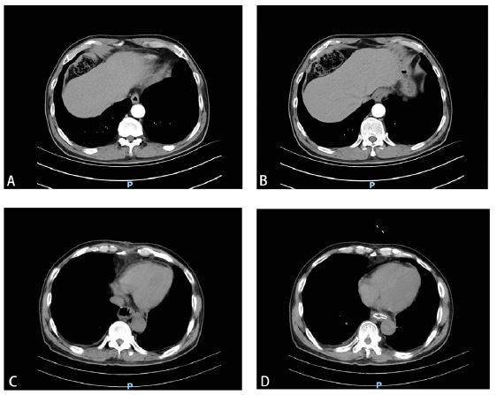
Ten months postoperatively, the patient presented to the emergency department on January 25, 2024, with “abdominal pain for 2 days, worsening for half a day,” characterized by continuous dull pain in the upper abdomen, alleviated when sitting or bending forward and severe when lying flat. He denied any history of vomiting or respiratory difficulty. Physical examination showed normal vital signs, severe tenderness in the right upper and upper abdomen, and normal bowel sounds. Initial laboratory results, including cardiac enzymes and electrocardiogram, showed no abnormalities. A thoracoabdominal CT scan indicated the esophagojejunostomy and dilated jejunal loops herniated through the hiatal hernia into the right hemithorax, forming a right-sided hiatal hernia (Figures 2A & 2B). There was no free fluid or air in the thoracic cavity.

Subsequently, we performed an emergency exploratory laparotomy. During surgery, the small intestine was observed herniating into the thoracic cavity through the hiatal hernia (Figure 3A), with no evidence of local recurrence, peritoneal disease, or liver metastasis. The small intestine was repositioned, showing no evident signs of ischemic necrosis, and a defect at the diaphragmatic angle was observed (Figure 3B). Notably, upon extending through the hiatus into the thoracic cavity, no pleura was observed (Figure 3C). We decided to perform hernia repair surgery and secured the intestine to the hiatus (Figure 3D). A drainage tube was placed behind the esophagojejunostomy site during the surgery. The nasogastric tube was removed on the same day postoperatively, and the patient began passing gas and consuming liquids two days later. The patient was discharged cured five days after surgery. At a three-month follow-up, the patient reported no abdominal discomfort.

Image is Not Display Check it
Figure 1: Preoperative and postoperative thoracoabdominal CT scans of the patient who underwent laparoscopic total gastrectomy.
A-B. Preoperative images; C-D. Postoperative images.

Image is Not Display Check it
Figure 2: Thoracoabdominal CT scan showing partial herniation of the small intestine into the right thoracic cavity, compressing the right lung.
A. Transverse view. B. Sagittal view.

Image is Not Display Check it
Figure 3: Laparoscopic repositioning of the small intestine and hernia defect repair.
A. Non-traumatic laparoscopic clamp repositioning;
B. Muscular defect in the diaphragmatic crura;
C. Pleural defect;
D. Hernia defect repair with 3-0 barbed suture and 3-0 non-absorbable suture.

Discussion

Postoperative Hiatal Hernia is defined as a condition in which abdominal organs (mainly the stomach) herniate through the esophageal hiatus into the thoracic cavity, making it the most common type of diaphragmatic hernia, accounting for over 90% [11]. This condition usually occurs in the early postoperative period, with complex hiatal hernias potentially developing within the first year after surgery but also observed up to five years postoperatively [12]. Generally, the later the symptoms of a postoperative hiatal hernia appear, the milder the condition. Patients often present with abdominal pain, which may manifest as symptoms of partial gastrointestinal obstruction, such as constipation, bloating, and significantly reduced flatulence. Some patients may also exhibit symptoms of chest tightness, shortness of breath, and cardiac insufficiency.

Early diagnosis of complex hiatal hernias after gastrectomy is often challenging due to the lack of specific symptoms. Therefore, in patients presenting with abdominal pain and partial obstruction symptoms following total gastrectomy, a high suspicion and appropriate imaging diagnosis are warranted. A chest X-ray may show bowel loops and fluid levels within the thoracic cavity. A chest CT scan can clearly display the shadow of gastrointestinal organs above the diaphragm, and barium enema can be used to confirm the diagnosis of a hiatal hernia [13].

Currently, the management of asymptomatic hiatal hernias after gastrectomy remains controversial. While small or sliding hernias can be monitored, any increase in hernia size or onset of symptoms necessitates surgical intervention [14]. Symptomatic hiatal hernias require emergency surgical treatment upon diagnosis to avoid risks of intestinal incarceration and strangulation [15]. In this study, the patient’s Clavien-Dindo Classification (CDC) was grade III, and emergency exploratory laparotomy was performed upon diagnosis. The small intestine was found to be in good condition and was repositioned, and the diaphragm was repaired. For most hiatal hernia patients, simple hernia repair suffices, but for patients with fibrotic defects in the hiatus, mesh repair is a better option. In most cases, laparoscopic surgery is preferred; however, if the patient is in sepsis or has significant intestinal adhesions, open surgery may be chosen. In cases of severe thoracic adhesions preventing the return of herniated contents to the abdominal cavity, a thoracic approach should also be prepared [16,17].

Studies indicate that factors such as the patient’s BMI, increased intra-abdominal pressure from various postoperative causes, pre-existing hiatal hernias, transhiatal dissection, and minimally invasive approaches are risk factors [18]. The incidence of hiatal hernia within three years after gastrectomy is 0.19%, with a significantly higher incidence following laparoscopic-assisted gastrectomy compared to open gastrectomy (0.53% vs. 0.15%, p=0.03) [19]. Some studies suggest that reduced intra-abdominal adhesions and increased hiatus defects post-minimally invasive procedures are associated with higher rates of hiatal hernias [20,21]. However, multivariate analyses have not confirmed minimally invasive approaches as independent predictors of hiatal hernia [13]. Therefore, whether minimally invasive approaches increase the risk of hiatal hernia requires further study.

In this study, localized thickening of the pleura was observed post-gastrectomy, likely due to surgical trauma. Pleural injury implies that the negative pressure in the thoracic cavity more easily affects abdominal organs. With coughing or changes in posture increasing intra-abdominal pressure, the likelihood of hiatal hernia occurrence is heightened. However, no literature reports have confirmed that pleural injury leads to postoperative hiatal hernia, and current data are insufficient to support this hypothesis, necessitating more samples and well-designed studies for confirmation.

Chung et al.’s study of 490 total gastrectomy patients, including 365 functional and 125 overlapping esophagojejunostomies, reported eight cases (1.63%) of hiatal hernias occurring on average 7.3 months postoperatively (range: 3.4 to 12.8 months), all following functional anastomoses [22]. Functional anastomoses require longer esophageal and jejunal segments, whereas the overlap method does not. However, due to the low complication rate, the impact of anastomosis type on hiatal hernia rates lacks statistical significance, requiring further follow-up and research to confirm any superiority of the overlap method. Another recent study suggests increased incidence due to improved survival rates following neoadjuvant therapy [23].

Postoperatively, normal anatomical structures around the hiatus may be altered due to surgical manipulation, causing inadvertent muscle fiber damage. Thus, avoiding unnecessary diaphragmatic splits is crucial, necessitating further refinement of surgical techniques, such as using the overlap method and linear staplers for intracorporeal anastomosis to prevent or reduce hiatal hernia-related complications [22]. Literature suggests that initial closure of the esophageal hiatus and mesh placement during the first surgery can prevent hiatal hernia recurrence. However, these solutions have problems, as initial suturing did not reduce hernia risk, with two out of seven hiatal hernias recurring despite initial closure [24]. Some researchers propose colonic fixation to the abdominal wall to prevent potential hiatal hernia, given that 82.22% of hiatal hernias involve transverse colon herniation, with small intestine and gastric wall herniation at 13.33% and 4.44%, respectively [25]. Other measures include maintaining smooth bowel movements postoperatively, preventing coughing to maintain a stable low thoracoabdominal pressure differential, and adhering to a healthy diet to maintain a reasonable BMI to reduce postoperative hiatal hernia incidence.

Due to the low incidence of hiatal hernia after total gastrectomy, single-center studies often lack sufficient sample sizes. Existing reports are often multicenter meta-analyses with significant variability and data heterogeneity. Effective prevention strategies require large-sample, homogeneous data studies.

Conclusion

In conclusion, hiatal hernia after laparoscopic total gastrectomy is a rare but potentially fatal complication. Patients typically present with symptoms of partial intestinal obstruction. For highly suspected cases, immediate thoracoabdominal CT scans are recommended. Symptomatic confirmed hiatal hernias require emergency intestinal repositioning and hernia repair to prevent intestinal necrosis. Avoiding crus muscle damage, using overlap anastomosis, and colonic fixation may reduce the incidence of postoperative hiatal hernias.

Declarations

Author contribution: Collection of clinical data and writing: Dalai Xu, Lei Qiu and Feng Lu. Final approval of the manuscript: Gang Wang,Yongchang Miao and Xuzhu Gao.

Funding: This work was supported by Lianyungang association for science and technology, award number: ZD202308.

Ethical approval: The authors are accountable for all aspects of the work in ensuring that questions related to the accuracy or integrity of any part of the work are appropriately investigated and resolved.

References

  1. Smyth EC, Nilsson M, Grabsch HI, van Grieken NC, Lordick F. Gastric cancer. Lancet. 2020; 396(10251): 635-48.
  2. Sung H, Ferlay J, Siegel RL, Laversanne M, Soerjomataram I, et al. Global Cancer Statistics 2020: GLOBOCAN Estimates of Incidence and Mortality Worldwide for 36 Cancers in 185 Countries. CA Cancer J Clin. 2021; 71(3): 209-49.
  3. Guan WL, He Y, Xu RH. Gastric cancer treatment: recent progress and future perspectives. J Hematol Oncol. 2023; 16(1): 57.
  4. Joshi SS, Badgwell BD. Current treatment and recent progress in gastric cancer. CA Cancer J Clin. 2021; 71(3): 264-79.
  5. Zhong Q, Wu D, Jiang Y, He QL, Dang XY, et al. The safety, feasibility and oncological outcomes of laparoscopic completion total gastrectomy for remnant gastric cancer: A prospective study with 3-year follow-up (FUGES-004 study). Int J Surg. 2024; 110(6): 3382-91.
  6. Kim HH, Han SU, Kim MC, Kim W, Lee HJ, et al. Effect of Laparoscopic Distal Gastrectomy vs Open Distal Gastrectomy on Long-term Survival Among Patients With Stage I Gastric Cancer: The KLASS-01 Randomized Clinical Trial. JAMA Oncol. 2019; 5(4): 506-13.
  7. Hyung WJ, Yang HK, Park YK, Lee HJ, An JY, et al. Long-Term Outcomes of Laparoscopic Distal Gastrectomy for Locally Advanced Gastric Cancer: The KLASS-02-RCT Randomized Clinical Trial. J Clin Oncol. 2020; 38(28): 3304-13.
  8. Ojima T, Nakamura M, Nakamori M, Hayata K, Katsuda M, et al. Prevention of Internal Hernia During Robotic Total Gastrectomy for Gastric Cancer. J Gastrointest Surg. 2018; 22(5): 934.
  9. Wu QL, Liu QZ, Xi YY, Deng XQ, Xu TS, et al. Closed or Unclosed Mesentery? A Meta-analysis of Internal Herniation after Laparoscopic Roux-en-Y Gastric Bypass. Obes Surg. 2023; 33(6): 1900-9.
  10. Miyagaki H, Takiguchi S, Kurokawa Y, Hirao M, Tamura S, et al. Recent trend of internal hernia occurrence after gastrectomy for gastric cancer. World J Surg. 2012; 36(4): 851-7.
  11. Musbahi A, Mahawar K. Hiatal hernia. Br J Surg. 2023; 110(4): 401-2.
  12. Yu HX, Han CS, Xue JR, Han ZF, Xin H. Esophageal hiatal hernia: risk, diagnosis and management. Expert Rev Gastroenterol Hepatol. 2018; 12(4): 319-29.
  13. Brenkman HJF, Parry K, Noble F, van Hillegersberg R, Sharland D, et al. Hiatal Hernia after Esophagectomy for Cancer. Ann Thorac Surg. 2017; 103(4): 1055-62.
  14. Price TN, Allen MS, Nichols FC, Cassivi SD, Wigle DA, et al. Hiatal hernia after esophagectomy: analysis of 2,182 esophagectomies from a single institution. Ann Thorac Surg. 2011; 92(6): 2041-5.
  15. Ulloa Severino B, Fuks D, Christidis C, Denet C, Gayet B, et al. Laparoscopic repair of hiatal hernia after minimally invasive esophagectomy. Surg Endosc. 2016; 30(3): 1068-72.
  16. Wang NY, Tsai CY, Liu YY, Chen IS, Ho KH. Incarcerated Hiatal Hernia with Perforation after Laparoscopic Total Gastrectomy with Roux-en-Y Reconstruction: a Case Report. J Gastric Cancer. 2019; 19(1): 132-7.
  17. Caso R, Khaitan PG. Surgical Management of Persistent or New Symptoms after Hiatal Hernia Repair. J Vis Exp. 2024; (207).
  18. Oppelt PU, Askevold I, Hörbelt R, Roller FC, Padberg W, et al. Trans-hiatal herniation following esophagectomy or gastrectomy: retrospective single-center experiences with a potential surgical emergency. Hernia. 2022; 26(1): 259-78.
  19. Oor JE, Wiezer MJ, Hazebroek EJ. Hiatal Hernia after Open versus Minimally Invasive Esophagectomy: A Systematic Review and Meta-analysis. Ann Surg Oncol. 2016; 23(8): 2690-8.
  20. Kent MS, Luketich JD, Tsai W, Churilla P, Federle M, et al. Revisional surgery after esophagectomy: An analysis of 43 patients. Ann Thorac Surg. 2008; 86(3): 975-83; discussion 967-974.
  21. Messenger DE, Higgs SM, Dwerryhouse SJ, Hewin DF, Vipond MN, et al. Symptomatic diaphragmatic herniation following open and minimally invasive oesophagectomy: Experience from a UK specialist unit. Surg Endosc. 2015; 29(2): 417-24.
  22. Gong CS, Ko CS, Kim BS, Kim HS. Diaphragmatic Hernia after Totally Laparoscopic Total Gastrectomy for Gastric Cancer. Surg Laparosc Endosc Percutan Tech. 2019; 29(3): 194-9.
  23. Bona D, Lombardo F, Matsushima K, Cavalli M, Panizzo V, et al. Diaphragmatic herniation after esophagogastric surgery: systematic review and meta-analysis. Langenbecks Arch Surg. 2021; 406(6): 1819-29.
  24. Sutherland J, Banerji N, Morphew J, Johnson E, Dunn D. Postoperative incidence of incarcerated hiatal hernia and its prevention after robotic transhiatal esophagectomy. Surg Endosc. 2011; 25(5): 1526-30.
  25. Bronson NW, Luna RA, Hunter JG, Dolan JP. The incidence of hiatal hernia after minimally invasive esophagectomy. J Gastrointest Surg. 2014; 18(5): 889-93.