Journal of Gastroenterology
Research and Practice


Case Report - Open Access, Volume 4

Urothelial carcinoma with metastasis to the rectum mimicking radiation proctitis

Raakhi Menon1*; Robinder Abrol2; Hasanain Hasan3; Juliana Yang2

1Department of Internal Medicine, Division of General Internal Medicine, University of Texas Medical Branch, USA.

2Department of Internal Medicine, Division of Gastroenterology and Hepatology, University of Texas Medical Branch, USA.

3Department of Pathology, University of Texas Medical Branch, USA.

*Corresponding Author : Raakhi Menon
Department of Internal Medicine, Division of General Internal Medicine, University of Texas Medical Branch, USA.
Tel: (409) 747-1883;
Email: rsmenon@utmb.edu

Received : Aug 03, 2024

Accepted : Aug 26, 2024

Published : Sep 02, 2024

Archived : www.jjgastro.com

Copyright : © Menon R (2024).

Abstract

The prevalence of urothelial bladder carcinoma is increasing, necessitating attention. While radical cystectomy is the advised approach for invasive subtypes, the lingering risk of metastases demands ongoing vigilance. Gastrointestinal engagement, specifically in the rectum, is an infrequent phenomenon. Importantly, radiation proctitis, a frequently encountered complication of radiation therapy, can exhibit varied clinical presentations. When patients report rectal bleeding, the differential diagnosis becomes expansive. It is imperative to recognize that rectal metastasis has the potential to mimic radiation proctitis, and these resemblances may be inadvertently overlooked, especially when suspicion is low.

Citation: Menon R, Abrol R, Hasan H, Yang J. Urothelial carcinoma with metastasis to the rectum mimicking radiation proctitis. J Gastroenterol Res Pract. 2024; 4(7): 1212.

Introduction

Urothelial Carcinoma (UC) is the predominant histological type of bladder cancer, constituting 90% of cases [1]. Globally, it ranks as the 10th most prevalent cancer, and its incidence has increased, particularly in developed nations [2]. While most UC cases are superficial, about 25% of cases invade muscle, resulting in a less favorable prognosis [2]. Radical cystectomy is the gold standard for muscle invasive UC. However, post-cystectomy, up to 50% of patients face recurrence and development of metastases, even after an initial diagnosis of clinically localized disease [1,2]. Metastases tend to target various sites, including bones, lungs, brain, and liver via lymphogenous or hematogenous routes [3]. Notably, gastrointestinal tract involvement in metastatic UC is uncommon, with only 16 reported cases of rectal metastasis in the literature [4]. Among those 16 cases, four occurred after radical cystectomy [4]. Colonoscopy affirmed metastases though tissue biopsy of fixed masses, thickened rectal wall, or ulcer bed. Interestingly, in the context of this case report, our patient had two inconclusive pathology reports and one report that ruled out the presence of malignancy making diagnosis challenging.

Case report

A 75-year-old Male with pertinent past medical history of urothelial carcinoma of the bladder treated with cisplatin and radiation therapy in 2019, followed by recurrence necessitating radical cystectomy with ileal conduit, as well as atrial fibrillation managed with Warfarin, and coronary artery disease treated with recent percutaneous coronary intervention involving a drug-eluting stent on Dual Antiplatelet Therapy (DAPT), presented with rectal bleeding. Initial CT scan of the abdomen and pelvis at an outside hospital showed circumferential rectal wall thickening, raising concern for a tumor. Subsequent colonoscopy revealed a fungating rectal mass with biopsy showing rare, atypical glands at base of biopsy suspicious for malignancy but not conclusive.

Upon transfer, the patient, who was hemodynamically stable with baseline hemoglobin, underwent a thorough multidisciplinary evaluation. A frond-like/villous partially obstructing mass (Figure 1A) was identified during flexible sigmoidoscopy and pathology results ruled out malignancy, instead indicating rectal mucosal ulceration and hyperplastic changes (Figure 2A). DAPT was continued and anticoagulation was held. Due to persistent rectal bleeding and subsequent drop in hemoglobin, CT angiogram was obtained which did not reveal active gastrointestinal bleeding. Colorectal surgery and urology planned for exploratory laparotomy with diverting end colostomy and surgical biopsy since the mass was not amenable for further endoscopic therapies. However, MRI pelvis, which was delayed due to patient’s pacemaker, suggested radiation proctitis. Surgical risks given underlying CAD with recent stent was deemed to outweigh benefits and surgery was postponed. Symptoms improved with sucralfate enemas and the patient was discharged on DAPT and direct oral anticoagulant therapy.

Soon after, the patient was readmitted due to acute blood loss anemia secondary to rectal bleeding. A multidisciplinary discussion deemed it appropriate to temporarily halt clopidogrel and coumadin for a potential urgent endoscopic procedure involving Argon Plasma Coagulation (APC). Due to the patient’s appropriate response to resuscitation and clinical stability, endoscopic intervention was deferred until completion of a three-month uninterrupted course of DAPT. The patient was discharged with close outpatient follow-up.

Image is Not Display Check it
Figure 1: (A) Frond-like/villous partially obstructing large mass was found in the rectum. The mass was partially circumferential (involving one-half of the lumen circumference).
(B) A frond-like/villous non-obstructing large mass was found at the distal rectum extending to the anus.

Image is Not Display Check it
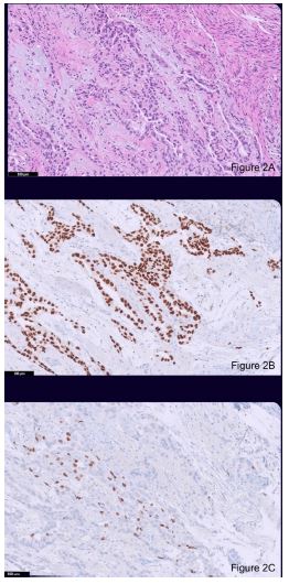
Figure 2: (A) Biopsy shows fragments of colonic mucosa with multiple foci of tumor nests in the muscularis mucosa and lamina propria. These nests compose of cells with varying degree of nuclear pleomorphism and irregular nuclear membrane. No high-grade features like necrosis or mitosis are seen.
(B & C) Several immunohistochemical stains were performed that show tumor cells to be positive for p63 and GATA-3 which confirms metastatic urothelial carcinoma.

Subsequent readmission occurred with a significant drop in hemoglobin and overt rectal bleeding. Triple therapy was held, and the patient underwent flexible sigmoidoscopy (Figure 1B) with biopsy. Procedure was complicated by colonic perforation and patient underwent exploratory laparotomy with diverting colostomy and drain placement for pneumoperitoneum. Pathology results were notable for metastatic urothelial carcinoma (Figure 2B, 2C). Further staging images did not show signs of metastasis. Oncology deemed the patient not a candidate for systemic therapy due to poor functional status.

Discussion

Nested Variant (NV) of UC was first reported in 1979, it is rare and unreported with an incidence of 0.3% of invasive bladder tumors [5]. NV may falsely appear to be benign on histology but is known to be aggressive with high rate of muscle invasion and metastasis [5]. NV non-muscle-invasive bladder cancer accounts for 70% of cases, but only approximately 30% of NV cases are non-muscle-invasive at the time of diagnosis [5]. Our patient was diagnosed at Stage 1 (T1, N0, M0) with no muscle invasion. However, he completed chemoradiation and Transurethral Resection of Bladder Tumor (TURBT). Surveillance imaging showed recurrence in the bladder, so he subsequently underwent radical cystectomy. Follow ups were consistent with remission and he was asymptomatic until the rectal bleeding.

Radiation Proctitis (RP) is not accurately reported due to lack of consensus among physicians, but it is one of the most common complications of radiation therapy to the pelvis. RP is estimated to range from 2-20% as per incidence rate reported in the literature [6]. Diagnosis can be established via direct visualization though flexible sigmoidoscopy and microscopic evaluation; however, the mucosa is usually friable and highly prone to perforation [6]. APC was considered in our patient however, for effective management of radiation proctitis, patient would need on multiple sessions of APC for effective hemostasis, which would require intermittent, prolonged cessation of antiplatelet and anticoagulant therapy. Until repeated biopsies were done due to high suspicion for malignancy, RP was a great mimicker of metastasis.

In intricate cases, a multidisciplinary approach is vital for collaborative diagnosis across medical specialties, mitigating biases. Challenges, such as inconclusive pathology reports and comorbidities causing delays in interventions, underscore the need for a comprehensive healthcare strategy. Recognizing these limitations emphasizes the necessity for diverse medical perspectives in understanding complex medical cases.

References

  1. Saginala K, Barsouk A, Aluru JS, Rawla P, Padala SA, et al. Epidemiology of Bladder Cancer. Med Sci (Basel). 2020; 8(1): 15. doi: 10.3390/medsci8010015.
  2. Hepp Z, Shah SN, Smoyer K, Vadagam P. Epidemiology and treatment patterns for locally advanced or metastatic urothelial carcinoma: A systematic literature review and gap analysis. J Manag Care Spec Pharm. 2021; 27(2): 240-255. doi: 10.18553/jmcp.2020.20285.
  3. Ii Y, Munakata S, Honjo K, et al. Rectal metastasis from bladder urothelial carcinoma: A case report. surg case rep. 2021; 7: 100. https://doi.org/10.1186/s40792-021-01186-8
  4. Practicalgast. Metastatic urothelial bladder cancer involving the rectum. Practical Gastro. December 2020. https://practicalgastro.com/2020/12/09/metastatic-urothelial-bladder-cancer-involving-the-rectum/.
  5. Abhijith D. Mally, Amy L. Tin, Justin K. Lee, Prassannah Satasivam, Eugene K. Cha, S. Michele Donat, Harry W. Herr, Bernard H. Bochner, Daniel D. Sjoberg, Guido Dalbagni, Clinical Outcomes of Patients With T1 Nested Variant of Urothelial Carcinoma Compared to Pure Urothelial Carcinoma of the Bladder, Clinical Genitourinary Cancer. 2018; 16: e23-e27, ISSN 1558-7673. https://doi.org/10.1016/j.clgc.2017.07.002. https://www.sciencedirect.com/science/article/pii/S1558767317301994.
  6. Dahiya DS, Kichloo A, Tuma F, Albosta M, Wani F. Radiation Proctitis and Management Strategies. Clin Endosc. 2022; 55(1): 22-32. doi:10.5946/ce.2020.288